Úlcera de córnea
Se realizó ozono en copa a 20 mcg ½ minuto y se repitió tres veces en la misma sesión.



CX LIGAMENTOS CRUZADOS DE LA RODILLA TRA IZQ. INGRESA A CONSULTA POR LESION EN LA ZONA DE LA ESCAPULA DERECHA POR QUEMADURA DE TERCER GRADO.
Se aplica en la zona de la lesión: Ozono subcutáneo, en copa y aceite O3. Se indica continuar diariamente aplicando aceite ozonizado 3 veces por día y se dan indicaciones como ir bajando en forma gradual la Prednisolona y manejo de Tramadol. El mismo día empezó a comer y a mejorar su estado anímico. A la semana ya se notaba franca mejoría. Y se continuo con aplicaciones de aceite ozonizado diariamente y ozono subcutáneo semanalmente durante 1 mes.
Noah previo
Noah antes
Noah copa
Noah después
Noah curado
Demodexia con estafilococos.
Aplicaciones de ozono subcutáneo en diversas áreas.
Autohemoterapia Menor
POST CX POR TORSIÓN GÁSTRICA.
LESIÓN 7 DIAS DESPUÉS SIN CONTROL DE SUS DUEÑOS
Se aplica en la zona de la lesión: Limpieza con solución fisiológica ozonizada y Bushing. Se indica continuar diariamente aplicando aceite diariamente. Evolución lenta. Último control con evolución favorable en 20 días.
Indio torsión
Indio posterior
Indio posterior
Indio posterior
NO COMIA. VALORES DE LABORATORIO NORMALES
RX Espacios intervertebrales y componentes óseos de columna toracolumbar, lumbar y lumbosacra de aspecto radiográfico normal para la edad del paciente. No se observan signos radiográficos sugerentes de descoparías en las incidencias realizadas.
Ambas articulaciones coxofemorales de aspecto radiográfico normal y ambas rotulas en posición normal en las incidencias realizadas.
Enfermedad periodontal. Se aplicó ozono subcutáneo en las articulaciones temporomandibulares
Patologías
Ozono local:
Intramuscular - perilesional / subcutáneo
intramuscular combinado con PRP ozonizado
perilesional tendinoso idem PRP.
Patologías
Columna: espondiloartrosis, calcificación de discos, hernias discales, hematomas por traumatismo
Local: ozono paravertebral subcutáneo
Articulaciones: artrosis, artritis séptica
Local: ozono intrarticular, periarticular
intrarticular regenerativo combinado con PRP
Ingreso por parálisis en tren trasero sin poder orinar ni defectar. Dolor en columna cervical, lumbosacro. Propiocepción negativo y reflejo de retirada disminuido en ambos miembros posteriores. Vejiga pequeña, no hay materia fecal en recto.
Se aplico Ozono subcutáneo. 24 hs posteriores vuelve a control y con evolución favorable, orino y defeco sola. MPI propiocepción presente, mpd propiocepcion negativa. Mueve los miembros posteriores, no mantiene la estación todavia. Después de la tercera sesión de ozonoterapia, hay muy buena evolución, camina moviendo los 4 miembros con ayuda, le falta tonicidad ms. Se indican ejercicios de estimulación en m. post y cola. Se realiza una sesión de Terapia Neural y al día siguiente comenzó a caminar, y se mantiene en estación. Se sigue realizando sesiones de ozono una vez por semana, Continua la mejoría en cuando a la deambulación y sensibilidad. Ozonoterapia cada 15 días.
Alfita antes
Alfita antes
Alfita después
Espondiloartrosis.
Aplicaciones de ozono subcutáneo y paravertebral.
Recuperación en la primera aplicación.


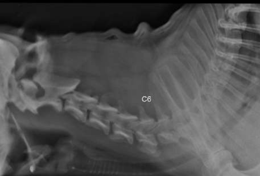
Cuadriplejia por compresión cervical C6 – C7
Ozono paravertebral.
Dos aplicaciones – diferencia de tres días.
Recuperación en la última aplicación.
Ingreso parapléjico, derivado por colega.
Lesión no quirúrgica.
Se aplico Ozono paravertebral por tres días consecutivos y volvió caminando.
Se observa disminución del espacio intervertebral T12-13. Esclerosis sacra
Se realizaron dos sesiones de ozono subcutáneo y luego se complementa con sesiones semanales de Fisio.
Ol-Trans Flex / Arnica a la 6.
RMN: Enfermedad degenerativa compresiva discal múltiple, con lesiones mas significativas en los espacios L2-L3 y T12-T13. Signos de espondiloartrosis. Hemivertebras múltiples. Llega posterior a una cx por descompresión de lumbares.
Poca sensibilidad superior y sin sensibilidad profunda. Infección urinaria a repetición. Se realizaron dos sesiones de ozono subcutáneo y hubo mejora en el tono muscular pero no caminaba. Se complementa con sesiones semanales de Fisio.
RX Severa Hemivertebra en T9 con desplazamiento del cuerpo vertebral hacia dorsal
Ozono paravertebral/Subcutáneo


RX Transición CT conservada, en dorsal del espacio intervertebral entre C5-C6 se observa un aumento de radio densidad, mineralización incipiente de disco intervertebral?, se sospecha mismo proceso, con menor intensidad a nivel C4-C5, se sugiere control radiográfico.
Resolución CX
Estaba caminando y comenzó a claudicar, posición antiálgica. Se aplico Dexa, Tramadol y se indica RX.
RX Estrechez de los espacios T12-T13 y T13-L1. Discopatias mineralizadas con extrusión de material discal en los espacios L1-L2 y L2-L3.
En 24 hs quedó paralítico, miembros posteriores extendidos hacia craneal. Retención de orina, no defeca. Alerta, come bien.
Resolución CX


Ingresa en brazos, camina con xifosis, abdomen tenso, jadea, mucosas rosadas, temp 39.2C. Grita al rozarle la columna lumbar/lumbosacra.
Responde bien a la primer sesión de ozono. En 48 hs quedó paralítica, miembros posteriores extendidos hacia craneal. Retención de orina, no defeca. Alerta, come bien. Se solicita RMN.
Resolución CX
Conclusion: Imágenes obtenidas de columna cervical, compatibles con afección compresiva y degenerativa discalmúltiple, con lesión de mayor relevancia a nivel C3-4, según descripción previa.
Pre y post quirúrgicos
Ozono endovenoso: suero glucosado
Rápida evolución y cicatrización
Cicatrización de herida miembro posterior por miasis 48hs después de la cirugía.
Ozono · bagging
Dos aplicaciones – diferencia de tres días.
Recuperación en la última aplicación.
Tolerancia inmunológica oral al colágeno · +Glucosamina +Condroitin +MSM





Beneficios del ozono · Protocolo de Montreal


Temario del curso
Información
Consultá sobre el curso y los próximos turnos